Case Studies
Science of Certanity
Real clinical cases demonstrating how EndoScore transforms protocol optimization.
Dr. Randy Cross
Endodontist, California
Dr. Justin Kolnick
Endodontist, New York
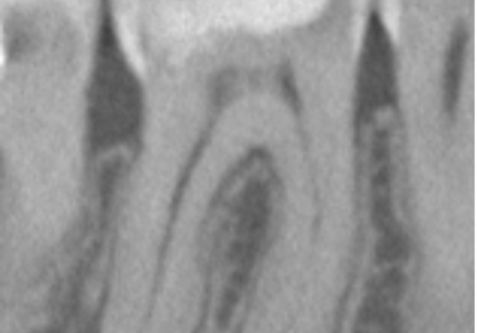
Case Study by Dr. Randy Cross
EndoScore of 3 at finish. Necrotic Symptomatic Apical Periodontitis. 2 visit with triple antibiotic paste, 30x06 conserve file with matching GP and Endoceramic sealer. Finished with bonded VistaApex clear flowable. The patient is being recalled in one year to confirm healing.
EndoScore: 3
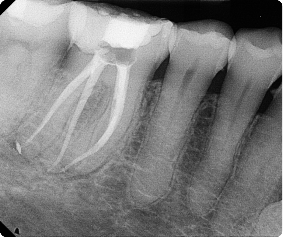
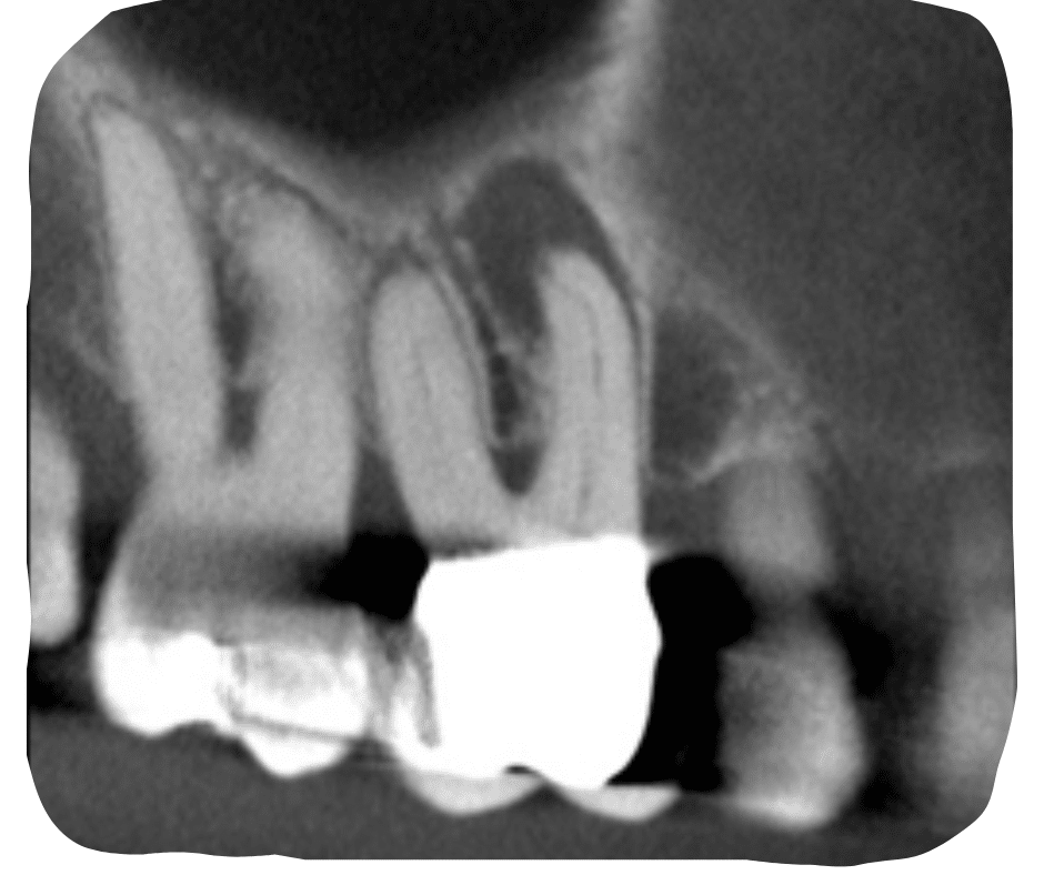
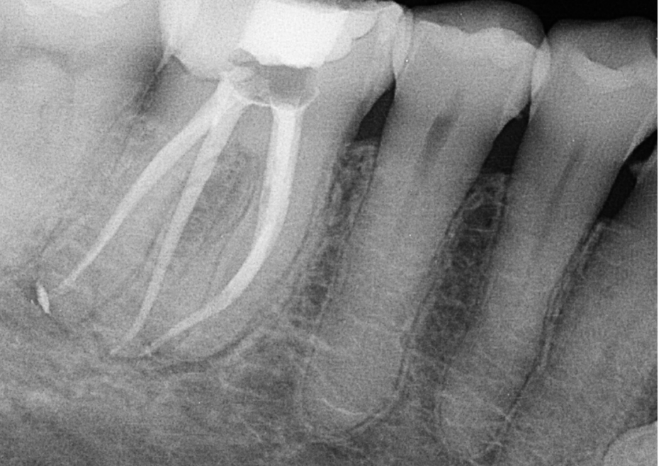
Case Study by Dr. Justin Kolnick
Endoscore of 69 was reduced to a final score of Endoscore 1 after MB2 canal was located and treated.
Obturated with EndoCeramicâ„¢ Sealer (Endo Direct) and single cone gutta percha.
EndoScore: 69 to 1


